You are using an outdated browser. For a faster, safer browsing experience, upgrade for free today.

Loading...

Detailed strain information

StrainNO B501
Classification Paenibacillus
16s rDNA sequence CTTGTTACGACTTCACCCCAATCATCTATCCCACCTTCGGCGGCTGGCTCCTTGCGGTTACCCCACCGACTTCGGGTGTTATAAA CTCTCGTGGTGTGACGGGCGGTGTGTACAAGACCCGGGAACGTATTCACCGCGGCATGCTGATCCGCGATTACTAGCAATTCCGA CTTCATGCAGGCGAGTTGCAGCCTGCAATCCGAACTGAGACCGGCTTTGTTGGGATTGGCTCCATCTCGCGATTTCGCAGCCCGT TGTACCGGCCATTGTAGTACGTGTGTAGCCCAGGTCATAAGGGGCATGATGATTTGACGTCATCCCCACCTTCCTCCGGTTTGTC ACCGGCAGTCTATCTAGAGTGCCCATCCGAAATGCTGGCAACTAAATATAAGGGTTGCGCTCGTTGCGGGACTTAACCCAACATC TCACGACACGAGCTGACGACAACCATGCACCACCTGTCTCCTCTGTCCCGAAGGAAAGATACATCTCTGTACCGGTCAGAGGGAT GTCAAGACCTGGTAAGGTTCTTCGCGTTGCTTCGAATTAAACCACATACTCCACTGCTTGTGCGGGTCCCCGTCAATTCCTTTGA GTTTCAGTCTTGCGACCGTACTCCCCAGGCGGAGTGCTTAATGTGTTAACTTCGGCACCAAGGGTATCGAAACCCCTAACACCTA GCACTCATCGTTTACGGCGTGCACTACCAGGTATCTAATCCTGTTTGCTCCCCACGCTTTCGCGCCTCAGCGTCAGTTACAGCCC AGAGAGTCGCCTTTCGCCACTGGTGTTCCTCCACATATCTACGCATTTCACCGCTACACGTGGAATTCCACTCTCCTCTTCTGCA CTCAAGTCACCCAGTTTCCAGTGCGATCCGGGGTTGAGCCCCGGGATTAAACACCAGACTTAAATGACCGCCTGCGCGCGCTTTA CGCCCAATAATTCCGGACAACGCTTGCCCCCTACGTATTACCGCGGCTGCTGGCACGTAGTTAGCCGGGGCTTTCTTCTCAGGTA CCGTCACCTTGAGAGCAGTTACTCTCCCAAGCGTTCTTCCCTGGCAACAGAGCTTTACGATCCGAAAACCTTCATCACTCACGCG GCATTGCTCCGTCAGGCTTTCGCCCATTGCGGAAGATTCCCTACTGCTGCCTCCCGTAGGAGTCTGGGCCGTGTCTCAGTCCCAG TGTGGCCGATCACCCTCTCAGGTCGGCTACGCATCGTCGCCTTGGTGAGCCGTTACCCCACCAACTAGCTAATGCGCCGCAGGCC CATCCCCAAGTGACAGATTGCTCCGTCTTTCCAGTTTCCTTCAGGCGAAGAAAACAACTATTCGGTATTAGCTACCGTTTCCGGT AGTTGTCCCAAACTTGAGGGCAGGTTGCCTACGTGTTACTCACCCGTCCGCCGCTAAGTATCAAGGAAGCAAGCTTCCTATCAAC TCCGCTCGACTTGCATGTATTAGGCAGCC
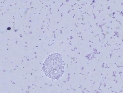
Strain Morphology Photos
Morphological Description Rod;having spore;Germinal mesophyll