You are using an outdated browser. For a faster, safer browsing experience, upgrade for free today.

Loading...

Detailed strain information

StrainNO A230
Classification Nocardioides
16s rDNA sequence AGTTTGATCCTGGCTCAGGACGAACGCTGGCGGCGTGCTTAACACATGCAAGTCGAGCGGTAAGGCCTCTTCGGGGGTACACGA GCGGCGAACGGGTGAGTAACACGTGAGTAATCTGCCCATGGCTCTGGGATAAGCTCCCGAAAGGGTGTCTAATACCGGATATGA CAGCTCCTCGCATGGGGTGGTTGTGGAAAGTTTTTTCGGCCATGGATGTGCTCGCGGCCTATCAGCTTGTTGGTGGGGTAATGG CCTACCAAGGCTTTGACGGGTAGCCGGCCTGAGAGGGTGACCGGTCACACTGGGACTGAGACACGGCCCAGACTCCTACGGGAG GCAGCAGTGGGGAATATTGGACAATGGGCGGAAGCCTGATCCAGCAACGCCGCGTGAGGGATGACGGCCTTCGGGTTGTAAACC TCTTTCAGTACCGACTAAGCGAGAGTGACGGTAGGTACAGAAGAAGCACCGGCCAACTACGTGCCAGCAGCCGCGGTAATACGT AGGGTGCGAGCGTTGTCCGGAATTATTGGGCGTAAAGGGCTCGTAGGCGGTTTGTCGCGTCGGGAGTGAAAACATCGGGCTTAA CTCGGTGCTTGCTTTCGATACGGGCAGACTTGAGGCATGCAGGGGAGAACGGAATTCCTGGTGTAGCGGTGAAATGCGCAGATA TCAGGAGGAACACCGGTGGCGAAGGCGGTTCTCTGGGCATGTTCTGACGCTGAGGAGCGAAAGTGTGGGGAGCGAACAGGATTA GATACCCTGGTAGTCCACACCGTAAACGTTGGGCGCTAGGTGTGGGACCCTTCCACGGGTTCCGTGCCGTAGCTAACGCATTAA GCGCCCCGCCTGGGGAGTACGGCCGCAAGGCTAAAACTCAAAGGAATTGACGGGGGCCCGCACAAGCGGCGGAGCATGCGGATT AATTCGATGCAACGCGAAGAACCTTACCTGGGTTTGACATACACGGGAAGCCCCTAGAGATAGGGGTCTCTTTGATACTCGTGT ACAGGTGGTGCACGGCTTGTCGTCAGCTCGTGTCGTAGATGTTGGGTTAAGTCCCGCAACGAGGCAACCCTCGTTCCATGTTGC CAGCAAGTATGTTGGGACTCATGGAGCTTCCGGGGTCAACTCGAAGGAAGGTGGGATGACGCAAGTCATCATGCCCCTTATGTC CAGGGCTTCACGCATGCTACAATGGCCGGACAAAGGCTTCGATCCTGTAAGGGTAGCGAATCCCAAAAGCCGGTCTCAGTTCGG ATTGGGGTCTGCAACTCGACCCCATGAAGTGGAGTCGCTAGTAATCGCAGATCAGCAACGCTTCGGTGAATACGTTCCCGGGCC TTGACACACCGCCCGTCACGTCACGAAAGTCGGCAACACCCGAAGCCGGTGGCCTAACCCTTGTGGGGGGAGCCGTCGAA
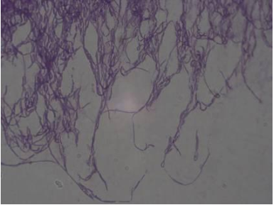
Strain Morphology Photos
Morphological Description The morphology of colony:edges unevenly;plum-like;translucent;The morphology of Mycelium:branched;with septum not broken;some mycelium slender;some thick and short;